マーレコラム飼い主さま向けコラム
⽝の前⼗字靭帯断裂 ー⾒逃したくない後ろ⾜のサインー

「散歩中に後ろ⾜を浮かせるようになった」「ドッグランで遊んだあと、⾜をかばう仕草が増えた」
そんな症状が⾒られたとき、考えられる原因のひとつが前⼗字靭帯断裂(CrCLR)です。

膝関節の中には、脛⾻(すねの⾻)が前⽅に変移しすぎないように⽀える「前⼗字靭帯(CrCL)」という靭帯があります。
これが切れたり損傷したりすると、膝の安定性が失われ、痛みや跛⾏、さらには関節炎(OA)へとつながります。
このような状態を獣医療では cruciate disease(前⼗字靭帯疾患)と呼び、中⾼年の⽝の後肢跛⾏の原因として⾮常に多く⾒られる疾患のひとつです。

■ 原因と特徴
⽝の前⼗字靭帯断裂は、⼈のようにスポーツ中の外傷で起こるケースよりも、靭帯の慢性的な変性が進⾏して断裂に⾄るパターンが⼀般的です。
中⾼齢⽝や肥満傾向の⽝に多く、特に⽇本では
- ラブラドール・レトリーバーなどの⼤型⽝
- 柴犬
- トイプードル
- ヨークシャーテリア
などに好発します。
断裂の程度(部分断裂・完全断裂)や、半⽉板(関節のクッション)の損傷の有無によって、症状の強さや進⾏速度には差があります。
半⽉板損傷を伴う場合、膝の曲げ伸ばしのたびに“クリック⾳”が聞こえることもあります。

■ 診断と治療⽅針
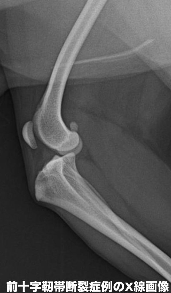
診断は、触診(脛⾻前⽅引き出し試験・脛⾻圧迫試験)による膝関節の不安定性の評価に加えて、X 線検査による⾻の位置や fat pad sign(関節内の炎症所⾒)の確認が基本です。
必要に応じて、超⾳波検査や関節鏡検査を併⽤することもあります。
治療には保存療法(内科的管理)と外科療法がありますが、関節の構造的な安定性を確実に回復させるには、外科的治療が第⼀選択とされます。
特に中〜⼤型⽝では外科⼿術が推奨されるケースが多く、当院では「TPLO(脛⾻⾼平部⽔平化⾻切り術)」を主な術式として採⽤しています。
TPLO は、脛⾻の傾き(tibial plateau angle)を調整することで、前⽅にずれようとする⼒(剪断⼒)を抑え、靭帯に頼らずに関節の安定性を確保する⽅法です。
術後の安定性が⾼く、従来の靭帯再建術と⽐較して回復が早く再発が少ないという特徴があります。

■ 術後のケアと今後の注意点
⼿術後は、数週間のリハビリと経過観察が重要です。体重管理、運動制限、関節保護サプリメントや NSAIDs(⾮ステロイド性消炎鎮痛薬)の併⽤により、膝関節の回復をサポートします。
また、⽚側の前⼗字靭帯断裂を経験した⽝の 30%〜60%が、数ヶ⽉〜数年以内に反対側の靭帯も断裂すると⾔われています。
術後も定期的なチェックを続け、早期の対応ができるようにしておくことが⼤切です。
「年のせい」と⾒過ごされがちな歩き⽅の変化も、実は治療が必要な整形外科疾患のサインかもしれません。
関節の変性が進⾏する前に、できるだけ早い段階での診断と治療が、将来の予後を⼤きく左右します。
当院では、これまでに 250 症例以上の TPLO ⼿術を実施しており、豊富な経験と技術をもとに、その⼦に最も適した治療プランをご提案しています。
⼤切なご家族が、また元気に歩けるように。私たちはその⼀歩を、全⼒でサポートします。
整形外科の手術・リハビリに関する詳細情報はこちらからご確認いただけます。
